Specjalizuje się w chirurgii i implantologii oraz cyfrowej protetyce stomatologicznej, które stanowią główne pole jego zainteresowań. Zabiegi wykonuje w sposób komfortowy, bezbolesny i bezstresowy.
Jest absolwentem Uniwersytetu Medycznego w Łodzi (Wydział Lekarski i Wydział Lekarsko-Dentystyczny). Odbył szkolenie oraz staż specjalizacyjny z chirurgii szczękowo-twarzowej.
Implanty Opole

Jesteśmy autoryzowaną placówką światowego lidera w implantologii stomatologicznej i regeneracji kości. Taka współpraca pozwala na wykonywanie nawet najbardziej skomplikowanych zabiegów. Implanty, które stosujemy, dają najwyższy odsetek powodzenia spośród wszystkich zarejestrowanych systemów implantologicznych tj. 98,7%. Więcej informacji na temat możliwości leczenia z wykorzystaniem tych implantów można znaleźć na oficjalnej stronie stworzonej z myślą o osobach, chcących poznać rozwiązania i efekty leczenia implantologicznego – zajrzyj i dowiedz się więcej.
W naszej klinice posiadamy własne centrum diagnostyczne wyposażone w najwyższej klasy urządzenia do diagnostyki obrazowej, m.in. tomograf komputerowy, pantomograf i sprzęt RTG. Dzięki temu niezbędne badania możemy przeprowadzić na miejscu w naszej placówce, tym samym skracając proces leczenia i oszczędzając mnóstwo cennego czasu naszych Pacjentów. Kompleksowa diagnostyka pozwala nam dokładnie zaplanować leczenie, przez co jego efekty są przewidywalne, a zabieg w pełni bezpieczny i komfortowy dla Pacjenta. Jeśli borykasz się z problemem braków w uzębieniu lub stosujesz protezę ruchomą, która nie spełnia Twoich oczekiwań, implanty dentystyczne w Opolu mogą odmienić Twoje życie na lepsze. Nie czekaj i już dzisiaj daj sobie szansę na poprawę komfortu codziennego funkcjonowania. W tym celu zadzwoń i umów się na wizytę ze specjalistą, podczas której dowiesz się, czy jest to odpowiednie rozwiązanie dla Ciebie. Implanty zębowe znane i udoskonalane są od ponad 30 lat. Dziś stanowią najlepszą możliwość uzupełnienia braków w uzębieniu, a także są doskonałym rozwiązaniem zapewniającym stabilne mocowanie protez zębowych. Polecane są wszystkim, którzy z jakiegoś powodu utracili jeden lub kilka zębów.
Co musisz wiedzieć o implantach?
Implant jest tytanowym elementem, który umieszcza się w kości szczęki lub żuchwy w celu uzupełnienia braku zębowego. Pełni on funkcję sztucznego korzenia – stanowi filar, na którym można zamocować pracę protetyczną rekonstruującą pojedynczy ząb lub cały łuk zębowy. Uzyskujemy w ten sposób najwyższą jakość, która daje Pacjentowi maksymalny komfort i bezpieczeństwo przy zachowaniu wytrzymałości odpowiadającej prawdziwym zębom.
Tytan, z którego wykonane są implanty dentystyczne w Opolu, jest w pełni biokompatybilnym materiałem, co oznacza, że nie wywołuje w ludzkim ciele reakcji alergicznych. Jest traktowany przez organizm jak własna kość. Po zabiegu implantacji dochodzi do tzw. osteointegracji, czyli połączenia się tytanu z tkankami.
Poznaj naszych ekspertów wykonujących leczenie implantologiczne:
Specjalizuje się w leczeniu zachowawczym i endodontycznym (kanałowym) z użyciem mikroskopu zabiegowego. Wykonuje również zabiegi chirurgiczne i implantologiczne. Jej pasją jest leczenie protetyczne, zachowawcze i endodontyczne.
Jest absolwentką Śląskiego Uniwersytetu Medycznego w Katowicach.
Na licznych kursach, szkoleniach i sympozjach „szlifuje” wiedzę z ww. zakresu.
Jak przebiega proces leczenia implantologicznego?
Leczenie zazwyczaj składa się z dwóch zasadniczych etapów: chirurgicznego i protetycznego. Przekonaj się, jak wygląda droga do przywrócenia pięknego, zdrowego i pełnego uzębienia krok po kroku:
1. Pierwszy etap to wszczepienie tytanowego implantu w kość żuchwy lub szczęki. Zabieg trwa od kilkunastu minut do ok. godziny i jest zupełnie bezbolesny, ponieważ wykonujemy go przy użyciu nowoczesnego znieczulenia komputerowego. W niektórych przypadkach na życzenia Pacjenta możliwe jest także przeprowadzenie leczenia w narkozie.
2. Po wszczepieniu implantów następuje proces regeneracji, podczas którego miejsce zabiegowe goi się, a kość integruje się z implantem. Trwa to kilka tygodni (ok. 6-12) w zależności od indywidualnych uwarunkowań anatomicznych.
3. Po kilku tygodniach od implantacji wykonujemy zabieg założenia śruby gojącej. Jest to element mający na celu estetyczne i naturalne ukształtowanie dziąsła wokół wszczepionego implantu. Pobieramy także cyfrowy wycisk uzębienia, który posłuży technikom dentystycznym jako podstawa do skonstruowania pracy protetycznej.
4. Etapem wieńczącym leczenie implantologiczne jest założenie ostatecznej pracy protetycznej. Na implancie trwale mocuje się koronę, most lub protezę całościową, w zależności od rozległości ubytków w uzębieniu. Od tej pory Pacjent może cieszyć się nowymi zębami, które funkcjonują i wyglądają zupełnie jak naturalne uzębienie stałe.
Ile trwa leczenie implantologiczne?
Długość trwania leczenia implantologicznego zależy w dużej mierze od indywidualnych uwarunkowań anatomicznych. Przebieg procesu regeneracji tkanek i integracji z implantem może się różnić u każdego Pacjenta. Może to trwać od kilku dni do kilku miesięcy.
Leczenie może wydłużyć się w przypadku, gdy kości szczęki lub żuchwy jest zbyt mało, by móc bezpiecznie i skutecznie wprowadzić implant. Sytuacja taka jest rezultatem zaniku kości – procesu, który następuje stopniowo po utracie zębów stanowiące naturalne obciążenie kości. Ze względu na to niezmiernie ważne jest, aby każdy ubytek w uzębieniu uzupełnić jak najszybciej. Bagatelizowanie braków zębowych może skutkować w przyszłości całkowitym zanikiem kości. Jeśli proces zostanie odpowiednio wcześnie zdiagnozowany, możliwe jest przeprowadzenie zabiegów mających na celu odbudowę (regenerację) kości, np. podniesienie dna zatoki szczękowej czy sterowaną regenerację kości. Jest to konieczne, by skutecznie przeprowadzić leczenie, ponieważ implant musi być całkowicie otoczony przez kość.
Niezależnie od długości procesu leczenia – jego efekty mogą utrzymywać się bardzo długo. To skuteczny sposób stałej rekonstrukcji uzębienia. Dzięki leczeniu implantologicznemu Pacjent może powrócić do normalnego funkcjonowania, traktując swoje nowe uzębienie jak własne, naturalne zęby. Przy stosowaniu się do wskazówek specjalisty i odpowiedniej dbałości o higienę można zachować implant nawet do końca życia.
Jakie korzyści przynosi leczenie implantologiczne?
Brak nawet pojedynczego zęba, to poważny problem natury estetycznej, czynnościowej (zaburzenie funkcji żucia), psychologicznej (brak pewności siebie), a nawet społecznej (piękny, pełny uśmiech to atut zarówno w życiu prywatnym, jak i zawodowym). Idealnym rozwiązaniem wszystkich tych problemów są implanty stomatologiczne w Opolu.
Implant jako jedyne rozwiązanie w stomatologii nie maskuje braku zębowego, ale zastępuje utracony korzeń zęba i umożliwia stałe zamocowanie pracy protetycznej, która funkcjonuje i wygląda zupełnie jak zdrowy ząb. Wszystko to za sprawą unikalnej konstrukcji odbudowy na implancie, doskonale odwzorowującej naturalną strukturę ludzkich zębów. Jeśli cierpisz z powodu ubytków w uzębieniu lub jesteś zmęczony użytkowaniem niekomfortowej protezy ruchomej i marzysz o powrocie do dawnego stylu życia – to metoda odpowiednia dla Ciebie. Dzięki implantom Twój uśmiech będzie wyglądał naturalnie, a Ty będziesz cieszyć się jedzeniem wszystkich ulubionych produktów – także tych bardzo twardych lub lepkich. W sytuacjach towarzyskich przestaniesz obawiać się o to, czy ludzie zwracają uwagę na Twoje zęby i zapomnisz o stresie związanym z niedopasowaną protezą, która może przemieścić się lub wypaść w niespodziewanym momencie. Wreszcie zaczniesz uśmiechać się spontanicznie i czuć się w pełni komfortowo.
Olbrzymią zaletą implantów jest także ich wytrzymałość i trwałość. Łatwość, z jaką są przyjmowane przez organizm, sprawia, że jest to rozwiązanie długotrwałe, bezpieczne, a przy tym zapewniające w 100% poczucie naturalności. Dzięki leczeniu implantologicznemu otrzymasz piękne i zdrowe zęby, które będą Ci służyły nawet dożywotnio.
Zobacz, jak przebiegało leczenie naszych Pacjentów
Warianty rozwiązań protetycznych na implantach
W zależności od tego, jak rozległe są ubytki w uzębieniu, stomatolog zaproponuje najlepszą metodę ich uzupełnienia. Za pomocą implantów można zarówno skutecznie odbudować pojedynczy ząb, jak i wyleczyć bezzębie. Przekonaj się, jakie rozwiązania protetyczne na implantach oferujemy w naszej Klinice.
Korona na implancie
Ludzki ząb zbudowany jest z korzenia oraz korony, która stanowi część widoczną w jamie ustnej. Odbudowę tej części zęba nazywamy koroną protetyczną. Służy ona do rekonstrukcji pojedynczego zęba. W połączeniu z leczeniem implantologicznym rozwiązanie to daje doskonałe rezultaty, wiernie odwzorowując naturalną strukturę zębów. Dzięki temu kość jest odpowiednio obciążona i proces jej zaniku zostaje powstrzymany, a uśmiech znów wygląda estetycznie i atrakcyjnie.
Most na implantach
Gdy brakuje kilku sąsiadujących ze sobą zębów, możliwe jest odtworzenie każdego z nich za pomocą korony na implancie. Istnieje jednak alternatywa dla tej metody – jest nią most protetyczny, który umożliwia odbudowę kilku zębów na ograniczonej ilości implantów. W tym przypadku implanty wszczepia się w skrajnych miejscach luki i mocuje się na nich most, przypominający kilka połączonych ze sobą koron. To skuteczna i ekonomiczna metoda, która pozwala kompleksowo odbudować kilka ubytków w uzębieniu.
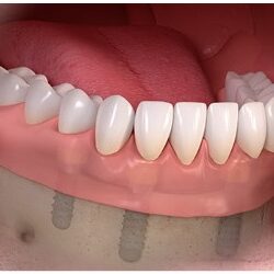
Proteza na implantach
Proteza osadzona na implantach to sposób kompleksowego leczenia bezzębia. Stanowi doskonałą alternatywą dla klasycznych protez ruchomych. W przeciwieństwie do nich odbudowy na implantach nie można wyjąć z ust. Funkcjonuje więc zupełnie tak jak naturalne uzębienie, eliminując wszystkie trudności związane z użytkowaniem rozwiązań ruchomych. Proteza na implantach to inwestycja na całe życie – nowe uzębienie może służyć nawet dożywotnio. Ponadto implanty ograniczają proces zaniku kości, zachowując równowagę w jamie ustnej na długie lata.
Zęby w 1 dzień
We współczesnej stomatologii jesteśmy w stanie wyleczyć całkowity brak zębów nawet w ciągu jednego dnia. Możliwe staje się to dzięki metodzie „Zęby w 1 dzień”. To leczenie implantologiczno-protetyczne, które można przeprowadzić podczas jednej wizyty. W jej trakcie odbywa się część chirurgiczna, czyli wszczepienie 4 lub 6 lub 8 implantów, oraz etap protetyczny, polegający na zamocowaniu pełnej odbudowy uzębienia. Oznacza to, że tego samego dnia zyskasz nowe zęby, nie rezygnując na dłuższy czas z pracy zawodowej. Od razu po zabiegu powrócisz do normalnego funkcjonowania i będziesz cieszyć się pięknym i zdrowym uśmiechem.
Dlaczego warto wykonać leczenie implantologiczne w Ambasadzie Uśmiechu?
Doświadczenie ekspertów Ambasady Uśmiechu z zakresu implantologii gwarantuje najwyższą jakość przeprowadzanych zabiegów. W naszej Klinice zastosowanie znajduje kilka systemów implantologicznych różnych, wiodących na świecie producentów.
Jesteśmy autoryzowaną placówką szwajcarskiej grupy Straumann, światowego lidera w implantologii stomatologicznej i regeneracji kości. Taka współpraca pozwala na wykonywanie nawet najbardziej skomplikowanych zabiegów. Implanty stomatologiczne w Opolu, które stosujemy, dają najwyższy odsetek powodzenia spośród wszystkich zarejestrowanych systemów implantologicznych, tj. 98,7%. Więcej informacji na temat możliwości leczenia z wykorzystaniem implantów można znaleźć na oficjalnej stronie stworzonej z myślą o osobach, chcących poznać rozwiązania i efekty leczenia implantologicznego.
W naszej Klinice posiadamy własne centrum diagnostyczne, wyposażone w najwyższej klasy urządzenia do diagnostyki obrazowej, m.in. tomograf komputerowy, pantomograf i sprzęt RTG. Dzięki temu niezbędne badania możemy przeprowadzić na miejscu w naszej placówce, tym samym skracając proces leczenia i oszczędzając mnóstwo cennego czasu naszych Pacjentów. Kompleksowa diagnostyka pozwala nam dokładnie zaplanować leczenie, przez co jego efekty są przewidywalne, a przebieg w pełni bezpieczny i komfortowy dla Pacjenta. Jeśli borykasz się z problemem braków w uzębieniu lub stosujesz protezę ruchomą, która nie spełnia Twoich oczekiwań, implanty dentystyczne mogą odmienić Twoje życie na lepsze. Nie czekaj i już dzisiaj daj sobie szansę na poprawę komfortu codziennego funkcjonowania. W tym celu zadzwoń pod numer 691 777 197 lub wypełnij formularz i umów się na wizytę ze specjalistą, podczas której dowiesz się, czy jest to odpowiednie rozwiązanie dla Ciebie.
Szablony chirurgiczne 3D – implanty bez skalpela i szycia
Na co dzień w naszej klinice wykorzystujemy szablony chirurgiczne 3D. Dzięki ich zastosowaniu w leczeniu implantologicznym mamy możliwość wszczepienia implantu w ciągu kilkunastu minut, z zachowaniem maksymalnego bezpieczeństwa oraz minimalnej inwazyjności zabiegu implantologicznego. Planowanie zabiegu na komputerze, w środowisku 3D i wydrukowanie szablonu implantologicznego na drukarce 3D pozwala na idealną pozycję implantu względem otaczających zębów oraz maksymalne wykorzystanie istniejących warunków kostnych pacjenta. Brak cięć chirurgicznych skalpelem eliminuje konieczność zakładania szwów, dzięki czemu gojenie dziąsła po zabiegu jest całkowicie bezbolesne i znacznie szybsze niż przy tradycyjnym zabiegu wszczepienia implantu z nacinaniem i odsłanianiem dziąsła. Zalety wszczepienia implantu za pomocą szablonu implantologicznego to:
- idealna, zaplanowana komputerowo pozycja implantu
- brak ran dziąsła po zabiegu – brak bólu
- znacznie szybsze gojenie – brak cięć skalpelem
- możliwość komputerowego zaplanowania i wykonania korony tymczasowej przed zabiegiem
- brak możliwości uszkodzenia sąsiednich struktur czy popełnienia błędu
Zastosowanie szablonu chirurgicznego jest idealnym rozwiązaniem u osób obawiających się zabiegu wszczepienia implantu. Poniżej plan wizyt przy użyciu szablonu 3D:
- pierwsza wizyta: Lekarz stomatolog przeprowadza konsultacje implantologiczną, podczas której przedstawia pacjentowi możliwe sposoby odbudowy brakujących zębów, oraz ocenia możliwości wszczepienia implantu przy pomocy szablonu chirurgicznego na tomografii komputerowej. Wizytę kończy zeskanowanie zębów skanerem wewnątrzustnym w celu wykonania szablonu 3D.
- druga wizyta: Po znieczuleniu pacjenta implantolog wykonuje łoża pod implant za pomocą założonego w ustach szablonu 3D. Szablon opiera się na sąsiednich zębach pacjenta lub dziąsłach. Po umieszczeniu implantu, rana nad implantem zabezpieczana jest śrubą gojącą. Nie ma konieczności zakładania szwów a gojenie przebiega znacznie szybciej. Po okresie wgajania implantów od 1 do kilkunastu dni, możliwe jest wykonanie koron na implantach
- trzecia wizyta: Odbudowa protetyczna czyli montaż korony na implancie
Poznaj najczęstsze pytania do leczenia implantologicznego
Jesteśmy GABINETEM PARTNERSKIM i autoryzowaną placówką światowego lidera w implantologii stomatologicznej i regeneracji kości. Taka współpraca pozwala na wykonywanie nawet najbardziej skomplikowanych zabiegów implantologicznych. Implanty te dają najwyższy odsetek powodzenia spośród wszystkich zarejestrowanych systemów implantologicznych, tj. 98,7%. Są najbezpieczniejsze i najbardziej zaawansowane technologicznie. Więcej informacji na temat możliwości leczenia z wykorzystaniem implantów znajdą Państwo na https://www.mojnowyusmiech.pl/ stworzonej z myślą o osobach chcących poznać rozwiązania i efekty leczenia implantologicznego.
Używamy także implantów innych producentów jeżeli takie są potrzeby pacjenta. Jesteśmy w stanie pomóc każdemu, niezależnie od producenta implantów które posiada, w przypadku potrzeby takiej pomocy.





























