4.8 / 5
średnia ocena

Ortodonta – Ortodoncja Opole


APARATY NAKŁADKOWE – REWOLUCYJNE NARZĘDZIE W RĘKACH ORTODONTY

 

Czym są niewidoczne aparaty ortodontyczne?

To nowoczesne nakładki na zęby coraz śmielej zastępują metalowe zamki aparatu stałego. Leczenie nakładkowe to prawdziwa rewolucja w temacie aparatów do prostowania zębów. To nowe rozwiązanie technologiczne cechuje się tym, że:

  • nakładki są przezroczyste, praktycznie niewidoczne, doskonale dopasowane, a ich noszenie nie powoduje dyskomfortu;
  • leczy takie wady zgryzu, jak przodozgryz, zgryz głęboki, zgryz otwarty, zgryz krzyżowy;
  • jest w stanie zlikwidować skrzywienia zębów;
  • wyeliminuje zarówno szparowatość jak i stłoczenie zębów;
  • pacjent może sam zmieniać kolejne nakładki, bez konieczności przychodzenia do gabinetu co 3-4 tygodnie.

 

aparat na zęby Opole

 

Szybkie działanie korekcyjne

Szybkie tempo działania, porównywalne lub szybsze z tradycyjnym rozwiązaniem, przybliża dzień, w którym zęby staną się ładne i proste. Aparaty nakładkowe zazwyczaj zmienia się co dwa tygodnie i każdy może zrobić to samodzielnie w każdym miejscu. Zestawy nakładek wydawane są przez lekarza ortodontę podczas wizyt kontrolnych, które odbywają się co 2-3 miesiące. Nakładki są praktycznie niewidoczne, zaś bardzo szybko widoczny staje się równy, zdrowy uśmiech uzyskany dzięki ich działaniu. Efekt w postaci poprawnego zgryzu oraz uzyskania pełnego sukcesu jest uzależniony od danej osoby i sytuacji wyjściowej.

 

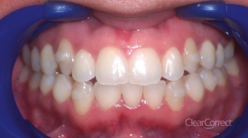
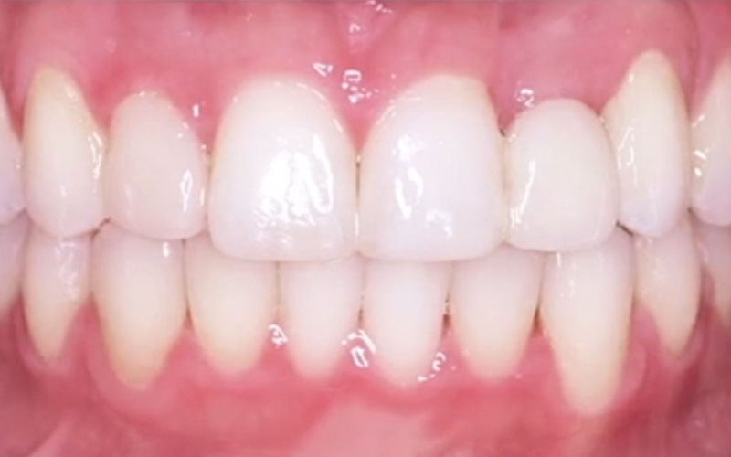
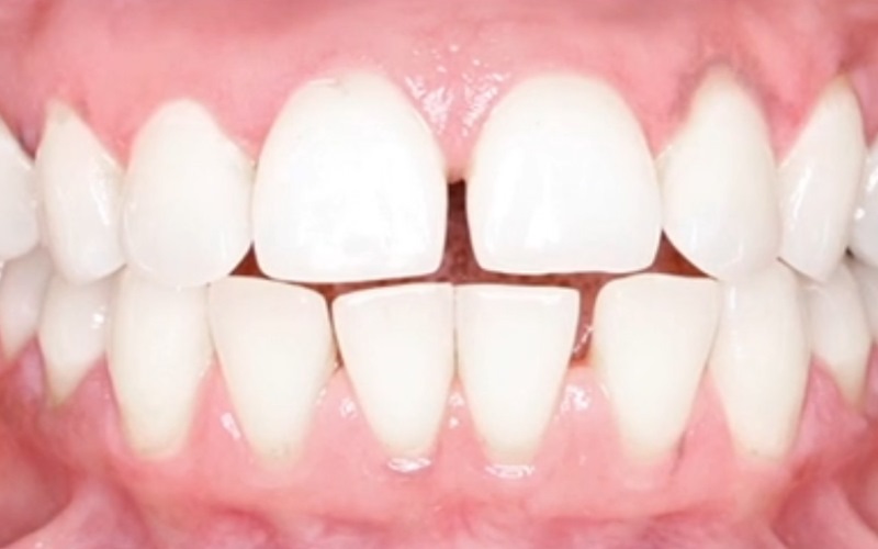
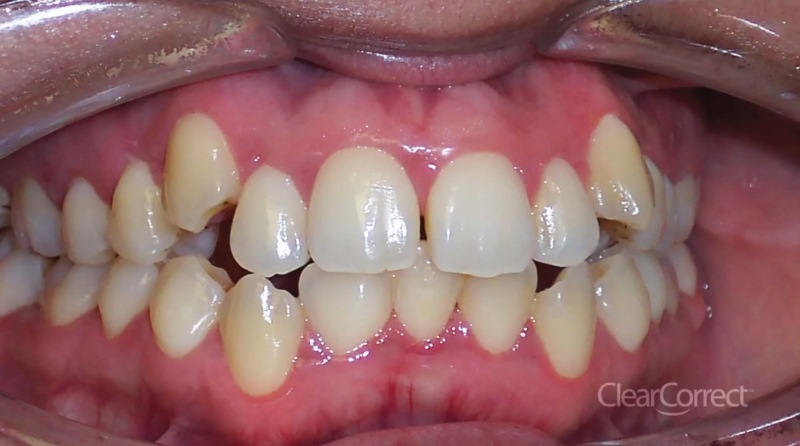
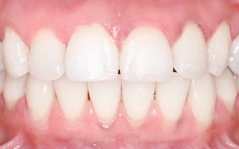
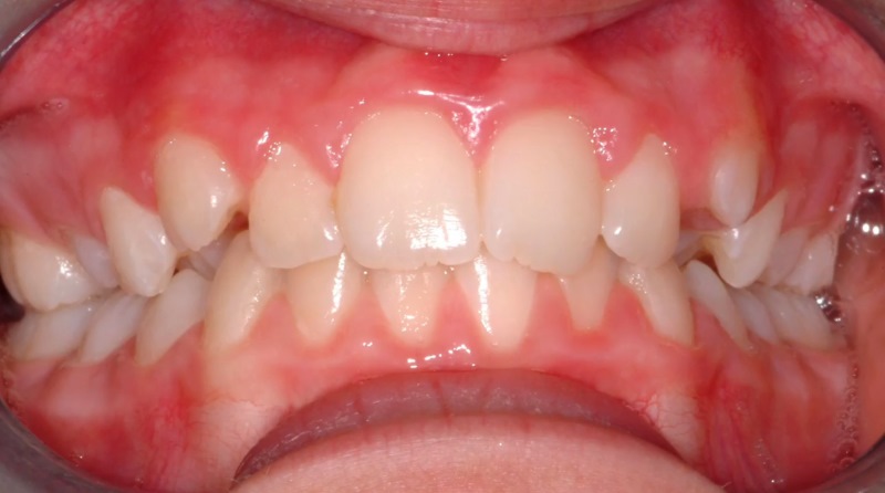
Zobacz, jak przebiegało leczenie naszych Pacjentów

 

Ortodonta - Ortodoncja Opole
Ortodonta - Ortodoncja Opole
Ortodonta - Ortodoncja Opole
Ortodonta - Ortodoncja Opole

 

Ortodonta - Ortodoncja Opole
Ortodonta - Ortodoncja Opole
Ortodonta - Ortodoncja Opole
Ortodonta - Ortodoncja Opole

 

 

Technologia, która wyprzedza wszystkie inne

Materiał, z którego wykonane są nakładki jest głównym powodem rewolucji w prostowaniu zębów. Jest on najbardziej skuteczny, gdyż powoduje przemieszczenie zębów, a nawet ich rotację w celu osiągnięcia zamierzonego efektu. Ortodonta ma pełną kontrolę nad przemieszczaniem zębów, a proces ten przebiega delikatnie i stopniowo. Nakładki są gładkie i komfortowe w noszeniu, dopasowane do dziąseł i zębów. Nakładki można zdejmować, więc nie stanowią przeszkody w spożywaniu ulubionych pokarmów, nitkowaniu zębów czy dokładnym ich szczotkowaniu.

 

Etapy leczenia oraz zakres leczenia przezroczystymi nakładkami ortodontycznymi

Ortodoncja to dziedzina stomatologii zajmująca się korekcją wad zgryzu. Leczenie tego typu nie tylko poprawia estetykę uśmiechu i całej twarzy, ale również ma wpływ na funkcjonowanie zębów a przede wszystkim ułatwia rozdrabnianie pokarmów. Po tego typu leczeniu zęby są proste, równo ustawione oraz dopasowane do siebie. Założenie aparatu na zęby to rozwiązanie, na które decyduje się coraz więcej osób w każdym wieku. Dzięki nowoczesnym rozwiązaniom skuteczne leczenie można przeprowadzić w każdym wieku.

W Ambasadzie Uśmiechu oferujemy naszym Pacjentom, poza opisanymi wyżej nakładkami ortodontycznymi, leczenie wszystkimi dostępnymi na rynku aparatami ortodontycznymi:
– aparaty stałe metalowe
– aparaty stałe estetyczne
– aparaty stałe językowe
– aparaty ruchome
– aparaty nakładkowe.

 

Ortodonta Opole

 

Poznaj naszych ekspertów wykonujących leczenie ortodontyczne:

Ortodonta - Ortodoncja Opole
lek. dent. Katarzyna Michalska-Rokosa
Zajmuje się: ortodoncją

Specjalizuje się w leczeniu ortodontycznym dorosłych i dzieci, z zastosowaniem aparatów stałych i ruchomych, a przede wszystkim estetycznych aparatów ortodontycznych. Stosuje nowoczesne metody leczenia bez usuwania zębów. Prowadzi również leczenie nakładkami przezroczystymi.

Ortodonta - Ortodoncja Opole
lek. dent. Anna Pelc
Zajmuje się: ortodoncją

Specjalizuje się w leczeniu ortodontycznym dorosłych i dzieci. Zwolenniczka leczenia ortodontycznego bez usuwania zębów z wykorzystaniem najnowszych technologii w tym technik cyfrowych.
Jest absolwentką Uniwersytetu Medycznego we Wrocławiu, który ukończyła z wyróżnieniem.

Ortodonta - Ortodoncja Opole
lek. dent. Małgorzata Majewska
Zajmuje się: ortodoncją

Specjalizuje się w leczeniu ortodontycznym dorosłych i dzieci. Leczy z zastosowaniem aparatów stałych w tym estetycznych i samoligaturujących oraz zdejmowanych. Prowadzi również leczenie z zastosowaniem przezroczystych nakładek. Do każdego Pacjenta podchodzi w sposób indywidualny, dzięki czemu uzyskuje doskonałe, piękne i niepowtarzalne uśmiechy.
Jest absolwentką Pomorskiego Uniwersytetu Medycznego w Szczecinie.

 

    Zapisz się na konsultację

    Ortodonta - Ortodoncja Opole

     

    Ortodoncja Opole

    Leczenie ortodontyczne krok po kroku

    1. Konsultacja i diagnostyka

    Na pierwszej wizycie spotkasz się z ortodontą, który po badaniu przedstawi, jaki jest Twój problem ortodontyczny. Specjalista wykona profesjonalne kolorowe zdjęcia Twojej twarzy i zębów, które pomogą zaplanować efekty leczenia pod kątem estetycznym. Pobierze również wyciski Twojego uzębienia, na podstawie których technik przygotuje modele gipsowe szczęki i żuchwy. Wykonane zostaną również zdjęcia radiologiczne. Są one potrzebne do ustalenia planu leczenia.

     

    2. Plan leczenia

    Przed kolejną wizytą lekarz wnikliwie analizuje fotografie, modele i zdjęcia rentgenowskie panoramiczne i cefalometryczne. Są one podstawą do przygotowania planu leczenia i do podjęcia decyzji o sposobie leczenia. Podczas spotkania ortodonta przekaże Ci wszystkie niezbędne informacje: na czym polega Twoja wada zgryzu, czy leczenie jest konieczne, co trzeba zrobić, aby skorygować wadę, jak długo potrwa leczenie i jakie będą jego koszta. Nasz specjalista chętnie odpowie na wszystkie Twoje pytania w sposób jasny i szczegółowy oraz pomoże Ci podjąć ostateczną decyzję dotyczącą rozpoczęcia leczenia.

     

    3. Założenie aparatu

    Na kolejnej wizycie zostanie założony przygotowany aparat. W zależności od wybranej opcji leczenia może to być aparat estetyczny, metalowy lub lingwalny (niewidoczny przy uśmiechaniu się). Zabieg trwa ok. 1 godzinę.

     

    4. Wizyty kontrolne

    Kolejne wizyty następują po sobie w odstępach 3-6 tygodniowych. W ich trakcie ortodonta weryfikuje postępy leczenia i wykonuje niezbędne zabiegi związane z noszeniem aparatu. Wydłużanie czasu pomiędzy wizytami bez konsultacji z lekarzem prowadzącym ma wpływ na spowolnienie procesu leczenia. Czas potrzebny do uzyskania pożądanych rezultatów zależny jest od rodzaju wady ortodontycznej, wybranej metody leczenia, wieku Pacjenta i uwarunkowań anatomicznych. Zwykle jest to ok. 18-24 miesiące.

     

     

    Zobacz, jak przebiegało leczenie naszych Pacjentów

     

    Ortodonta - Ortodoncja Opole
    Ortodonta - Ortodoncja Opole
    Ortodonta - Ortodoncja Opole
    Ortodonta - Ortodoncja Opole

     

     

    Co możesz teraz zrobić?

    Jeśli pragniesz podjąć leczenie ortodontyczne, pamiętaj, że możesz wykonać je w każdym wieku. Nigdy nie jest za późno, by spełnić swoje marzenia o pięknym i zdrowym uśmiechu. Szukasz ortodonty prywatnie w Opolu? Zapisz się na konsultację, podczas której specjalista zbada stan Twojego zgryzu. W tym celu wypełnij formularz lub zadzwoń pod numer 691 777 197.

     

     

    Poznaj najczęstsze pytania dotyczące leczenia ortodontycznego

     

    1. Czy aparat na zęby można założyć każdym wieku?

    3. Czy aparaty na zęby dostępne w naszym gabinecie w Opolu są widoczne?

    4. Jakie rodzaje aparatów ortodontycznych oferuje nasz gabinet w Opolu?

    5. Jak się zapisać na wizytę u naszego ortodonty w Opolu?

    6. Jak długo trwa leczenie aparatem ortodontycznym w naszej klinice w Opolu?

    6. Czy istnieją przeciwwskazania do podjęcia leczenia ortodontycznego?

     

     



    Ambasada Uśmiechu wysoko oceniana klinika

     

    Ambasada Uśmiechu S.C. Ortodoncja, Stomatologia i Implantologia


     


     


    10 rzeczy, które musisz wiedzieć, zanim wybierzesz swojego dentystę
       

    Przeczytaj także porady naszych ekspertów

       
    Nadwrażliwość zębów po wybielaniu – co warto wiedzieć?
    Ambasada Uśmiechu Opole stomatologia estetyczna wybielanie

    Wybielanie zębów to jeden z najpopularniejszych zabiegów estetycznych w stomatologii. W Ambasadzie Uśmiechu oferujemy wybielanie gabinetowe z użyciem lampy lub lasera, które pozwala w szybki i bezpieczny sposób rozjaśnić uśmiech. Jednym z częstszych, […]


    Czytaj
    Opuchlizna po implantacji zęba – czy to normalne?
    Ambasada Uśmiechu implanty porady

    Implantacja zęba to jedna z najczęściej wykonywanych procedur w nowoczesnej stomatologii – pozwala na trwałe uzupełnienie braków w uzębieniu i przywrócenie pełnej funkcjonalności jamy ustnej. Jak każda ingerencja chirurgiczna, może […]


    Czytaj
    Zalecenia po wszczepieniu implantu zębowego – Co warto wiedzieć, by wspomóc proces gojenia i uniknąć powikłań?
    Ambasada Uśmiechu implanty porady

    Wszczepienie implantu zębowego to jeden z najskuteczniejszych i najbardziej przewidywalnych sposobów odbudowy brakującego zęba. Choć sam zabieg jest zazwyczaj mało inwazyjny i przeprowadzany w znieczuleniu miejscowym, to kluczowym elementem sukcesu […]


    Czytaj
    © Copyright 2020 | Wszelkie prawa zastrzeżone | Marka Ambasada Uśmiechu należy do Medicover sp. z o.o.



    Wszelkie prawa zastrzeżone
    */?>
    Zadzwoń: